CellArt Gallery
Image of the Month
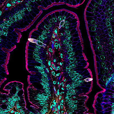
2025 ibidi Calendar, November
Rachel Stubler
Medical University of South Carolina, USA
Immunofluorescent staining of murine small intestine with the apical membrane labeled for β-actin (magenta) and nuclei (Hoechst, teal). The apical and lateral marker CDHR2 (purple) is highly expressed by rare chemosensory tuft cells, marked by phospho-EGFR (yellow). The colocalization of CDHR2 and phospho-EGFR is shown in white. The image was taken on a Leica SP8 confocal microscope using a 40x objective.
Follow Rachel Stubler on LinkedIn and @RachelStubler on X.

Do you want to be featured in the ibidi CellArt Gallery and the 2027 ibidi Calendar? Submit your image here.
List of pages in %s: